Cosmetic Dentistry

Veneers Coventry

Thin, custom-made shells bonded to the front of your teeth to transform their shape, colour and alignment. Available in porcelain or composite to suit your goals and budget.

"I had old veneers done elsewhere that I wasn't happy with. Dr Panchal made me feel so relaxed and took me through the whole process. The end result is better than I could have ever imagined!"

Kerrie O'Brien Google Review
Learn more
Veneers consultation at Face Dental, Coventry

"I had old veneers done elsewhere that I wasn't happy with. Dr Panchal made me feel so relaxed and took me through the whole process. The end result is better than I could have ever imagined!"

Kerrie O'Brien Google Review
The basics

What are veneers?

Veneers are thin shells bonded to the front surface of your teeth to change their shape, colour, size or alignment. We offer both porcelain and composite options, each with their own strengths depending on what you're looking to achieve.

Veneers consultation at Face Dental
2–3 appointments
10–15 year lifespan
6+ teeth typical

Porcelain veneers are crafted in a dental lab from impressions of your teeth. They're highly stain-resistant, incredibly lifelike, and designed to last 10 to 15 years or more. A small amount of enamel is removed to make room for the shell, so the process isn't reversible.

Porcelain for longevity and stain resistance. Composite for speed and flexibility.

Composite veneers are sculpted directly onto your teeth in a single visit using the same resin material as bonding. They're a quicker, more affordable option and can be repaired or adjusted easily. Both types are colour-matched to look completely natural.

What are veneers used for
Common uses

What are veneers used for?

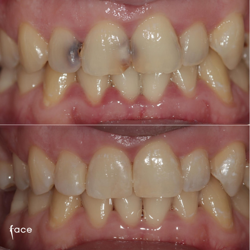
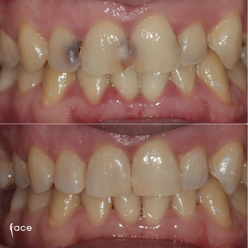
Veneers can address a wide range of cosmetic concerns in one treatment, from minor fixes to full smile makeovers.

Severe discolouration 01

Severe discolouration

Deep staining from medication, fluorosis or root canal treatment that whitening can't fix. Veneers cover the tooth completely for a fresh, even colour.

Irregular tooth shape 02

Irregular shape or size

Teeth that are naturally small, peg-shaped or uneven can be built out to a more balanced, proportionate shape that suits your face.

Closing gaps 03

Gaps between teeth

Close spaces without orthodontics by widening adjacent teeth with veneers for a seamless, natural-looking result.

Worn down teeth 04

Worn or chipped teeth

Restore length and structure to teeth that have been worn down over time by grinding, acid erosion, or general wear and tear.

Full smile makeover 05

Full smile makeover

Transform multiple teeth at once for a complete change in colour, shape and alignment. Often combined with whitening for the best result.

From £250 per veneer View all fees
Scroll
10–15 yrs Porcelain veneer lifespan
Stain proof Porcelain resists discolouration
Custom made Crafted to match your smile
Finance Spread the cost if you need to

Like the sound of it?

Book a free consultation and we'll talk through whether porcelain or composite veneers are the best fit for you.

How it works

What to expect from your veneer journey

Veneers at Face Dental Consultation Preparation Temporaries Final fit
01

Consultation and planning

Consultation

We'll discuss what you'd like to change, examine your teeth and recommend whether porcelain or composite veneers are the better option. Photos and impressions help us plan the shape, shade and overall design of your new smile.

~30 minutes
02

Preparation

Tooth preparation

For porcelain veneers, a thin layer of enamel is gently removed to make room for the shell. We keep this as minimal as possible. Composite veneers often need little to no preparation at all.

~45 minutes
03

Impressions and temporaries

Impressions and shade selection

We take detailed impressions and select your shade together. For porcelain veneers, temporary shells protect your teeth while the lab crafts the final set, usually around 1–2 weeks.

~30 min + 1–2 weeks for lab
04

Final fit

Final veneer fitting

Your veneers are tried in, checked for fit and colour, then permanently bonded in place. Any final adjustments are made there and then so you leave with your finished smile.

~1 hour
Know the difference

Porcelain vs composite veneers

Both can transform your smile, but they work differently and suit different budgets. Here's how they compare side by side.

Porcelain veneers

Porcelain Veneers

Lab-crafted shells made from dental porcelain. The gold standard for durability, stain resistance and a lifelike finish.

Cost from £450
Lifespan 10–15 yrs
Highly stain resistant
Most lifelike finish
Best for full makeovers
Requires 2–3 appointments
Permanent, not reversible
Book a consultation
Common questions

Frequently asked questions

Everything you need to know about veneers. Can't find what you're looking for? Give us a call on 024 7650 1125.

Book a consultation
Face Dental reception and waiting area

Porcelain veneers require a thin layer of enamel to be removed, so the process isn't reversible. However, the amount taken is minimal and your teeth remain healthy underneath. Composite veneers typically need little to no preparation at all.

Porcelain veneers typically last 10 to 15 years, sometimes longer with good care. Composite veneers last around 5 to 7 years. Both can be replaced when the time comes.

Porcelain is highly stain-resistant, so coffee, tea and red wine won't affect it. Composite can pick up some surface staining over time, but regular polishing at your hygiene appointments keeps it looking fresh.

Porcelain veneers usually take 2 to 3 visits: consultation, preparation with temporaries, and the final fit. Composite veneers can often be completed in a single appointment.

Composite veneers start from £250 per tooth and porcelain from £450. The total cost depends on how many teeth are involved and the complexity of the case. We'll give you a clear price at your consultation before anything starts.

100+ reviews on Google

The smile you've
always wanted

Book a free veneers consultation. We'll talk through porcelain and composite options, show you what's possible, and give you a clear price before anything starts.

Mon–Fri 9am–5:30pm  ·  Sat 9am–2pm
Scroll to Top