General dentistry

Gum Disease Treatment Coventry

Gum disease is the leading cause of tooth loss in adults, but it is treatable and in most cases preventable. We will get your gum health back on track and show you how to keep it there.

"She has helped me keep my teeth by advising me how to look after my gums. Very knowledgeable, efficient, and all the staff are professional and friendly."

Linda Clempson Google Review
Learn more
Gum disease treatment at Face Dental, Coventry

"She has helped me keep my teeth by advising me how to look after my gums. Very knowledgeable, efficient, and all the staff are professional and friendly."

Linda Clempson Google Review
Overview

What is gum disease?

Gum disease is an infection of the tissues that hold your teeth in place. It affects most adults to some degree, and many people do not realise they have it until it has already caused damage. The good news is that with the right treatment and care at home, it can be controlled.

Gum disease treatment at Face Dental, Coventry
3 in 4 Adults affected
Reversible When caught early
No. 1 Cause of tooth loss

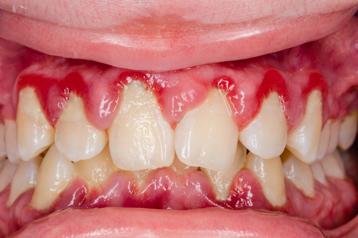
Gum disease begins as gingivitis: the gums become red, swollen, and bleed when you brush. At this stage it is fully reversible with a professional clean and better care at home. Left untreated, it can progress to periodontitis, where the infection spreads below the gum line and begins to destroy the bone supporting your teeth.

Gum disease rarely causes pain until it is advanced, which is why so many people do not know they have it. Early treatment makes a real difference.

At Face Dental, our hygienist works with you to remove the build-up causing the problem, treat any active infection, and put a plan in place to stop it coming back. Most patients see a significant improvement after just a couple of appointments.

Symptoms

Signs you might have gum disease

Gum disease often develops quietly, with few obvious symptoms in the early stages. These are the things to look out for.

Bleeding gums 01

Bleeding gums

Gums that bleed when you brush or floss are one of the earliest signs of gingivitis. It is easy to dismiss, but bleeding gums are not normal and should not be ignored.

Persistent bad breath 02

Persistent bad breath

Bad breath that does not go away despite brushing can be a sign of bacteria building up below the gum line. A persistent bad taste in your mouth is another indicator.

Receding gums 03

Receding gums

If your teeth are starting to look longer, your gums may be pulling away from the tooth. Receding gums expose the root and are a sign the disease has progressed beyond the early stage.

Swollen or red gums 04

Swollen or red gums

Healthy gums are firm and pale pink. If yours look puffy, red, or feel tender to touch, there is likely inflammation caused by a build-up of plaque or tartar at the gum line.

Loose or shifting teeth 05

Loose or shifting teeth

As gum disease destroys the bone that holds teeth in place, teeth can begin to feel loose or move slightly when you bite. This is a sign of advanced periodontitis and needs prompt attention.

Sensitivity near the gum line 06

Sensitivity near the gum line

As gums recede, the root surface becomes exposed and can feel sensitive to hot, cold, or sweet things. This type of sensitivity tends to be concentrated at the base of specific teeth.

From £65 hygiene appointment Book now
Scroll
Early treatment is fully reversible
Gentle Carried out by our specialist hygienist
1-2 appointments to get on top of it
Lasting Results with the right care at home

Noticed the signs? Do not ignore them.

The earlier we catch gum disease, the simpler it is to treat. Book in with our hygienist and we will get your gum health back on track.

The procedure

What to expect step by step

Gum disease treatment at Face Dental Assessment and charting Scale and clean Root planing Aftercare and maintenance
01

Assessment and charting

Assessment and charting

We start by measuring the depth of the pockets around each tooth using a small probe. This tells us how much the gum has pulled away from the tooth and where the disease is most active. X-rays help us assess any bone loss underneath. The results are recorded so we can track your improvement over time.

~15 minutes
02

Scale and clean

Scale and clean

We remove all the plaque and tartar build-up from the surfaces of your teeth, including just below the gum line. Tartar cannot be removed by brushing alone, so this professional clean is an essential part of getting the disease under control. We use an ultrasonic scaler and hand instruments to get everything clear.

~30 minutes
03

Root planing

Root planing

If the disease has progressed below the gum line, we carry out root planing: a deeper clean of the root surfaces to remove bacteria and smooth the root so that the gum can reattach. This is carried out under local anaesthetic so you will not feel any discomfort during the procedure. It is usually done in two sessions, treating one half of the mouth at a time.

~45 minutes per session
04

Aftercare and maintenance

Aftercare and maintenance

We will show you exactly how to clean your teeth and gums effectively at home, including the right technique for brushing and how to use interdental brushes. Keeping gum disease under control long term depends heavily on what you do between appointments. We will arrange a follow-up to reassess your pocket depths and make sure everything is heading in the right direction.

~15 minutes
Stages of gum disease

How far has it progressed?

01 Fully reversible

Gingivitis

Inflammation limited to the gum surface. No bone damage yet. A professional clean and better brushing at home is often all it takes.

  • Gums bleed when brushing
  • Red or puffy gums
  • Mild bad breath
02 Treatable

Periodontitis

Infection below the gum line. Bone loss has begun. Cannot be reversed but can be halted with root planing treatment.

  • Gums pulling away from teeth
  • Teeth looking longer
  • Persistent bad taste
03 Urgent

Advanced Periodontitis

Significant bone loss. Teeth at serious risk. Intensive treatment is needed but many teeth can still be saved at this stage.

  • Loose or shifting teeth
  • Pain when biting
  • Gum abscesses
Common questions

Gum disease FAQs

Honest answers to the questions we hear most often. Still not sure? Give us a call on 024 7650 1125 and we will talk it through.

Book appointment
Face Dental reception and waiting area

A routine scale and clean causes little more than mild sensitivity, which settles quickly. If you need root planing, we carry that out under local anaesthetic so you will not feel pain during the procedure. Some tenderness for a day or two afterwards is normal. Most patients are surprised by how manageable the whole thing is.

Gingivitis, the earliest stage, is fully reversible with professional treatment and better home care. Once it has progressed to periodontitis, the bone loss that has already occurred cannot be undone, but the disease can absolutely be halted and kept under control. Good brushing habits and regular hygiene visits are what keep it that way.

It depends on how advanced the disease is. Mild gingivitis can often be resolved in a single appointment. More advanced cases requiring root planing are usually spread over two sessions, treating one half of the mouth at a time. We will then see you for a review appointment to reassess your pocket depths and make sure things are improving.

Yes. Bleeding gums are a sign of active inflammation, even if there is no pain. Gum disease is often painless until it has caused significant damage, which is exactly why so many people leave it too long. If your gums bleed when you brush, it is worth getting them checked sooner rather than later.

Once the infection is cleared and the irritants removed, inflamed gums usually settle down well. Redness and puffiness reduce, bleeding stops, and the gums feel much healthier. Any recession that has already occurred will not reverse, but with the disease under control it should not progress further.

The biggest factor is consistent cleaning at home: brushing twice a day with a fluoride toothpaste and cleaning between your teeth every day with interdental brushes or floss. Regular hygiene appointments allow us to remove any build-up you have missed and catch any early signs before they develop. We will show you exactly how to look after your gums so you can keep them healthy long term.

Trusted by families across Coventry

Healthy gums. For life.

Gum disease is the leading cause of tooth loss in adults, but it does not have to be. The sooner we see you, the more we can do. Book in and we will get your gum health back on track.

Mon–Fri 9am–5:30pm  ·  Sat 9am–2pm
Scroll to Top